Smile Gallery

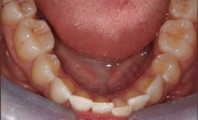
Before
After
before-image
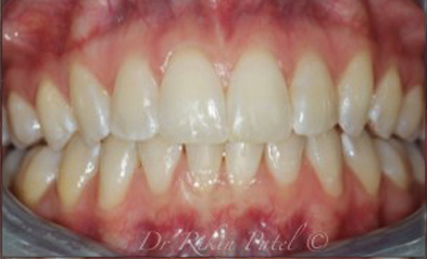
Before
after-image
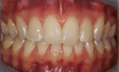
After
before-image
Before
after-image
After

Problem: This young lady was unhappy with her crowded and overlapped front teeth.

Solution: Dr Patel provided Invisalign ‘Invisible’ brace treatment to give the patient perfectly aligned teeth.

Case by Dr Rikin Patel

For further information, contact us.

Back to Smile Gallery

Dental Arts Studio is committed to providing state of the art dentistry

Get In Touch

Ask the Dentist